可恩口腔种植牙价格表!含单颗全口种植价格费用清单!
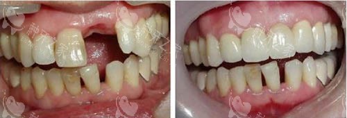
种植牙作为一种理想的牙齿修复方式,受到了越来越多人的关注。
可恩口腔作为一家可靠的口腔医疗机构,其种植牙服务备受瞩目。
接下来,我们就详细了解一下可恩口腔种植牙的价格情况,包含单颗和全口种植的价格费用清单。

可恩口腔种植牙概述
可恩口腔在种植牙领域拥有丰富的经验和可靠的技术团队。
他们采用靠前的种植技术和优质的种植体材料,为患者提供个性化的种植牙解决方案。
从术前的超全检查和评估,到术中的精细操作,再到术后的悉心护理,可恩口腔都严格把控每一个环节,以确保种植牙的结果和靠谱性。

单颗种植牙价格及影响因素
价格区间
可恩口腔单颗种植牙的价格范围大致在3000元到20000元不等。
这个价格跨度较大,主要是因为受到多种因素的影响。
种植体品牌
种植体是种植牙的核心部件,不同品牌的种植体价格差异明显。
常见的种植体品牌有韩国登腾、奥齿泰,美国皓圣、德国ICX、瑞士ITI等。
韩国品牌的种植体价格相对较为亲民,单颗价格一般在3000元到8000元左右;美国和德国的种植体价格中等,单颗价格大概在8000元到12000元;而瑞士的种植体由于其优异的品质和性能,价格相对较高,单颗可能在12000元到20000元。

牙冠材料
牙冠的材料也会对单颗种植牙的价格产生影响。
常见的牙冠材料有烤瓷牙冠和全瓷牙冠。
烤瓷牙冠价格相对较低,一般在几百元到两千元左右;全瓷牙冠具有美观、生物相容性好等优点,价格通常在2000元到5000元。
患者自身情况
患者的口腔状况也是影响价格的重要因素。
如果患者存在牙周炎、牙槽骨骨量不足等问题,在种植牙手术前需要靠前行相应的治疗和处理,如牙周治疗、骨增量手术等,这会增加治疗的费用。

全口种植牙价格及相关情况
全口种植牙的方式及价格
全口种植牙主要有两种方式,一种是传统的全口种植牙,另一种是All-on-4或All-on-6种植技术。
传统的全口种植牙需要在上下颌分别植入多颗种植体,然后安装牙冠,这种方式价格较高,一般在20万元到50万元左右。
而All-on-4或All-on-6种植技术是通过在上下颌分别植入4颗或6颗种植体,来支撑全口牙冠,相对传统方式节省了种植体的数量,价格也相对较低,大概在10万元到25万元。
影响全口种植牙价格的因素
除了种植方式外,全口种植牙的价格还受到种植体品牌、牙冠材料以及患者口腔状况等因素的影响,与单颗种植牙类似。
同时,不同地区的可恩口腔门店,由于经济发展水平和物价差异,全口种植牙的价格也会有所不同。

可恩口腔种植牙价格的优势
性价比高
可恩口腔通过与各大种植体供应商建立长期合作关系,能够以较为优惠的价格采购种植体材料,从而降低了患者的治疗成本。
在确保种植体质量的前提下,为患者提供具有性价比的种植牙服务。
优质服务与技术因素
虽然价格有一定的优势,但可恩口腔并不会降低服务和技术标准。
他们拥有可靠的医生团队,会根据患者的具体情况制定个性化的治疗方案,确保种植牙的结果和长期稳定性。
同时,术后还会为患者提供完善的跟踪服务,因素患者的口腔健康。

可恩口腔种植牙费用清单明细
术前检查费用
术前检查是种植牙手术的重要环节,包括口腔X光片、CT扫描、口腔检查等项目,费用大概在500元到2000元左右,具体费用会因检查项目的不同而有所差异。
种植体及牙冠费用
如前面所述,种植体和牙冠的费用根据品牌和材料的不同而有所变化,这是种植牙费用的主要组成部分。
手术费用
手术费用包括种植体植入手术和牙冠安装手术的费用,一般在几千元到上万元不等,具体取决于手术的复杂程度和种植体的数量。
其他费用
如果患者在治疗过程中需要进行额外的治疗,如牙周治疗、骨增量手术等,还会产生相应的费用。
此外,术后的药物费用和复查费用也需要考虑在内。

如何选择可恩口腔进行种植牙
了解医生资质
在选择可恩口腔进行种植牙时,要了解医生的资质和经验。
可以通过医院官网、医生简介等渠道,了解医生的可靠背景、临床经验和成功实例等信息。
考察医院环境和设备
医院的环境和设备也会影响治疗的结果和体验。
可恩口腔的门店通常拥有舒适的就诊环境和靠前的口腔诊疗设备,这有助于提高治疗的比较准性和靠谱性。
参考患者评价
可以通过网络、朋友推荐等方式,了解其他患者对可恩口腔种植牙服务的评价和反馈,从而更好地了解医院的服务质量和口碑。
可恩口腔提供了多种价格区间的种植牙服务,以满足不同患者的需求。

在选择种植牙时,患者不仅要关注价格,还要综合考虑种植体质量、医生技术、服务水平等因素,以确保获得理想的治疗结果。
希望以上关于可恩口腔种植牙价格表及费用清单的介绍,能为有种植牙需求的朋友提供一些参考。