您现在位置: 首页 > 种牙价格/收费 > 正文

深惠口腔做种植牙多少钱?登塘2050元起 皓圣5800元起!

发表于:2025-10-02 08:29:01 非合作机构 纠错/删除

在口腔医疗领域,种植牙成为越来越多人修复牙齿缺失的选择。

深惠口腔在种植牙方面表现出色,其价格也备受关注。

下面就为大家详细介绍深惠口腔种植牙的价格情况。

种植牙手术细节图

不同品牌种植牙价格差异

深惠口腔的种植牙品牌多样,价格也因品牌不同而有所差异。

像登塘种植牙,2050 元起,这个价格对于很多患者来说具有非常大的吸引力。

而皓圣种植牙 5800 元起,不同品牌的价格定位满足了不同消费者的需求。

除了登塘和皓圣,深惠口腔还有其他多种品牌的种植牙。

例如韩国进口 inno 种植牙价格在 6362 - 7448 元,美国进口百好瑞种植牙 8277 - 11035 元,意大利 B&B 种植牙 8948 - 11666 元等。

这些不同品牌的种植牙在材质、性能、使用寿命等方面存在差异,消费者可以根据自身的经济状况和口腔实际情况进行选择。

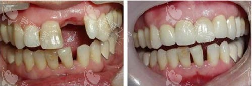
种植牙手术前后图

影响种植牙价格的因素

种植牙的价格并非固定不变,受到多种因素的影响。

首先是种植体的品牌,不同品牌的种植体由于研发成本、生产工艺等不同,价格会有较大差别。

其次,患者的口腔状况也会影响价格。

如果患者存在骨量不足的情况,可能需要使用骨粉/膜来改善骨量,这就会增加额外的费用。

另外,手术的复杂程度也会影响价格,例如小创口种植牙和普通种植牙的费用可能不同。

种植牙手术动画示意图

深惠口腔的优势

深惠口腔凭借专项的技术、现代化的设备和贴心的服务,为患者提供多方位的口腔治疗服务。

在种植牙方面,其价格透明,让患者能够清楚了解各项费用。

而且,深惠口腔还有成功的种植牙术例。

比如张女士,40 岁,因牙齿缺失面容憔悴,在深惠口腔种植牙后改善良好,牙齿美观自然;李先生,55 岁,因牙周病牙齿松动,种植牙后牙齿稳固,咀嚼功能改善。

这些术例充分证明了深惠口腔在种植牙方面的实力。

威高种植牙手术过程示意图

需要注意的是,以上种植牙价格仅供参考,具体价格请询问深惠口腔门诊。

如果您有种植牙的需求,不妨到深惠口腔了解一下,相信能找到适合自己的种植牙方案。

相关推荐